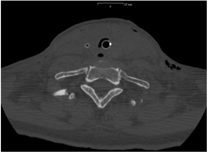
Figure 4: Postoperative CT-scan: neck area heavily edematous.

figure 4