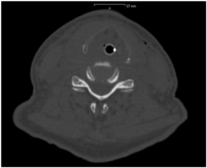
Figure 3: Postoperative CT-scan: Larynx, hypopharynx and parts of the oropharynx heavily edematous. Lumen of trachea in the neck area just kept braced by the tubus.

figure 3