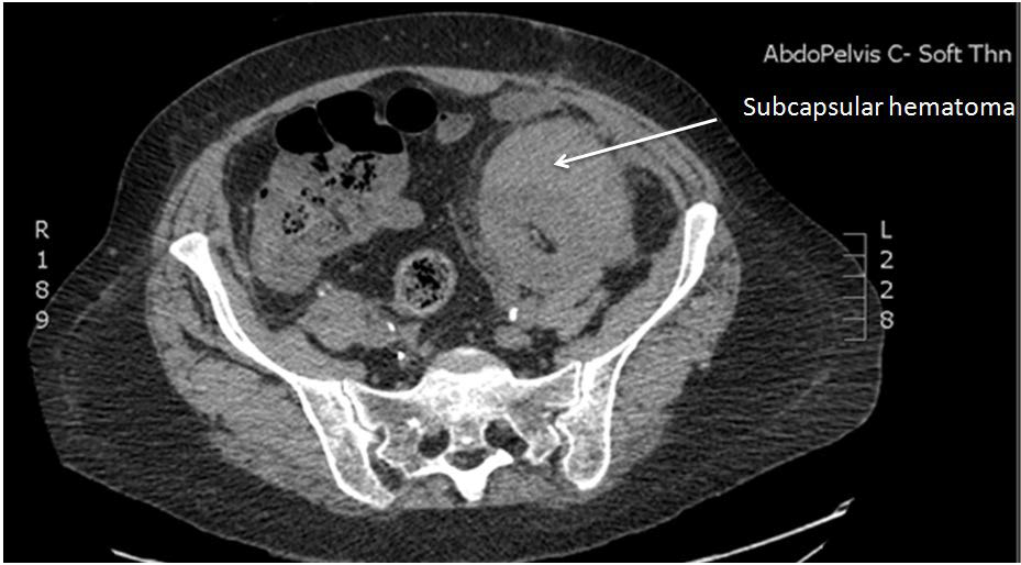
Figure 3: CT image showing subcapsular haematoma in the transplanted kidney.

figure 3