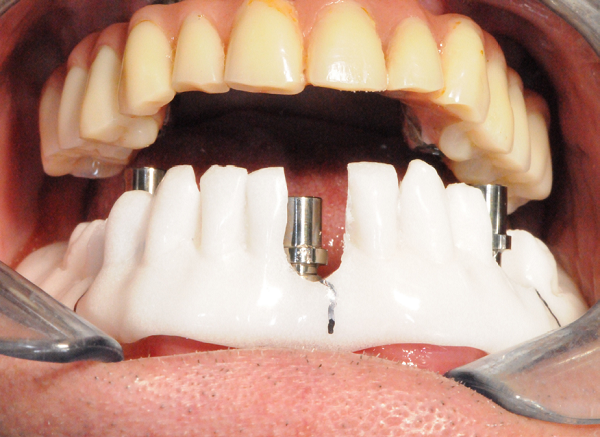
Figure 2: Surgical template designed using the same data as the planning software and fixed to 3 mini implants.

figure 2