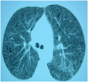
Figure 1: Lung TC where bullae and cystic lesions can be observed.

figure 1