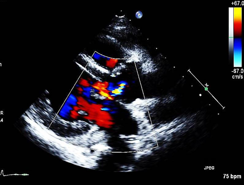
Figure 5: Transthoracic echocardiography after surgery.
Transthoracic echocardiography after repair of ruptured aneurysm shows no residual shunt flow.

figure 5