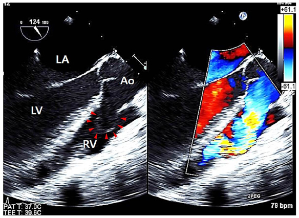
Figure 4: Transesophageal echocardiography.
Transesophageal echocardiography shows a protruding aneurysmal sac (red arrow heads) with shunting from the right coronary sinus to the right ventricle.
LA: left atrium; LV, left ventricle; Ao, aorta; RV, right ventricle.

figure 4