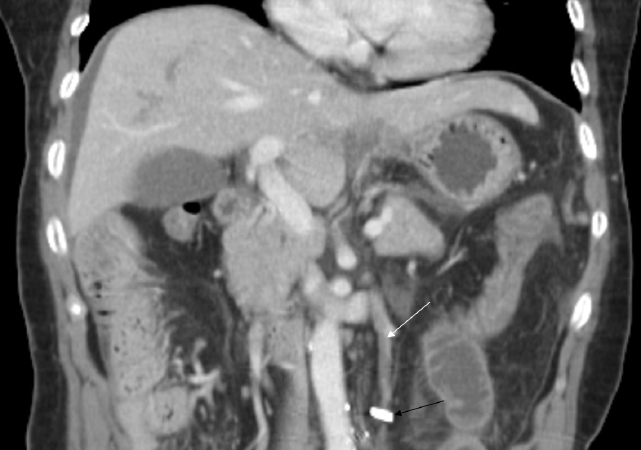
Figure 1: Coronal contrast-enhanced CT scan shows a thrombus formation (white arrow) in the inferior mesenteric vein and adjacent small bowel distension, without extension to the portal vein. Surgical clips (black arrow) placed in the mesentery are shown.

figure 1