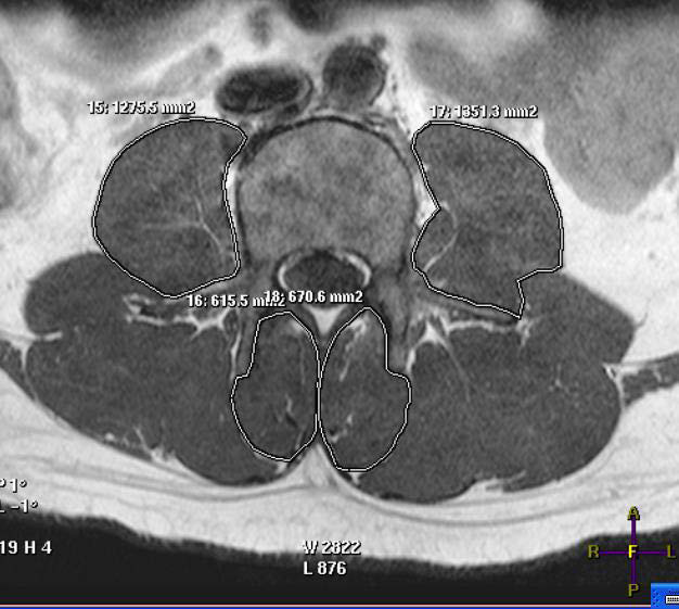
Figure 2: A measuring method of the multifidusmuscle and the major psoas muscle.

figure 2