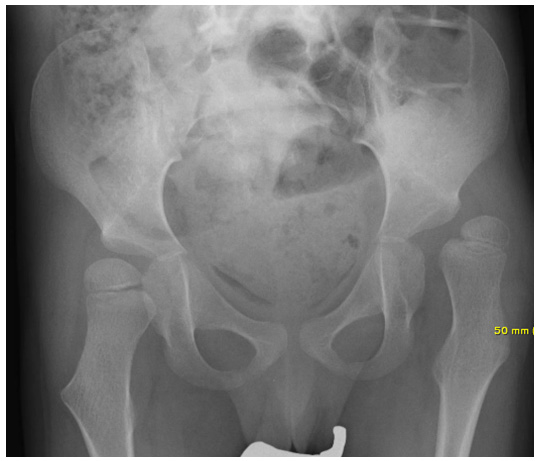
Figure 2: Boy GMFCS 5, 7 years old with complete dislocation of the left hip left and subluxation on the right.

figure 2