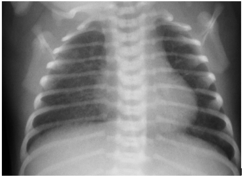
Figure 1: Chest radiograph of C. trachomatis pneumonia.
A chest radiograph of an infant with C. trachomatis pneumonia which revealed interstitial pneumonitis. Streaky shadow and reticulogranular infiltrates over the whole lung without hyperinflation were recognized.

figure 1