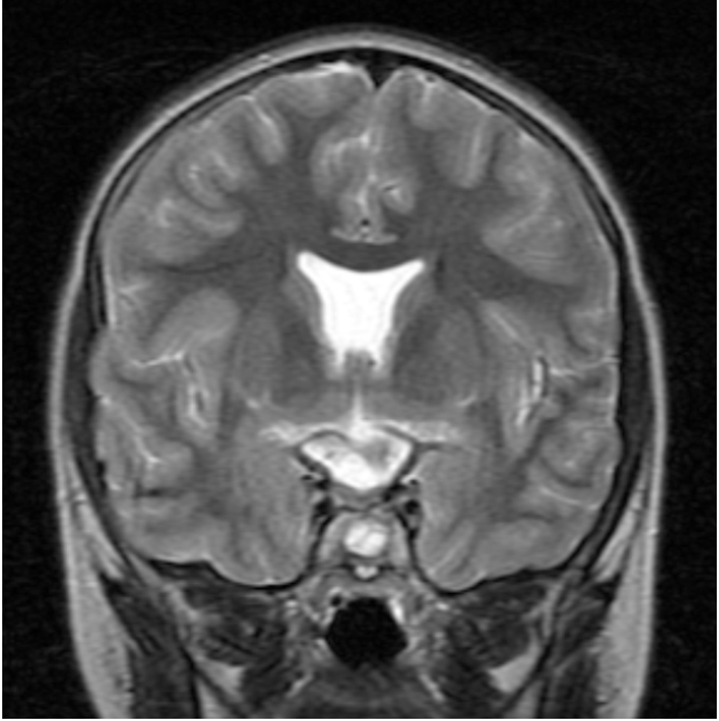
Figure 2: Coronal T2W image of the brain demonstrating absence of the septum pellucidum in septo-optic dysplasia.

figure 2