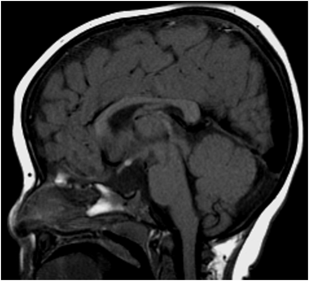
Figure 1: Sagittal T1 weighted Magnetic resonance imaging showing a small anterior pituitary, absent stalk, and normally located posterior pituitary.

figure 1