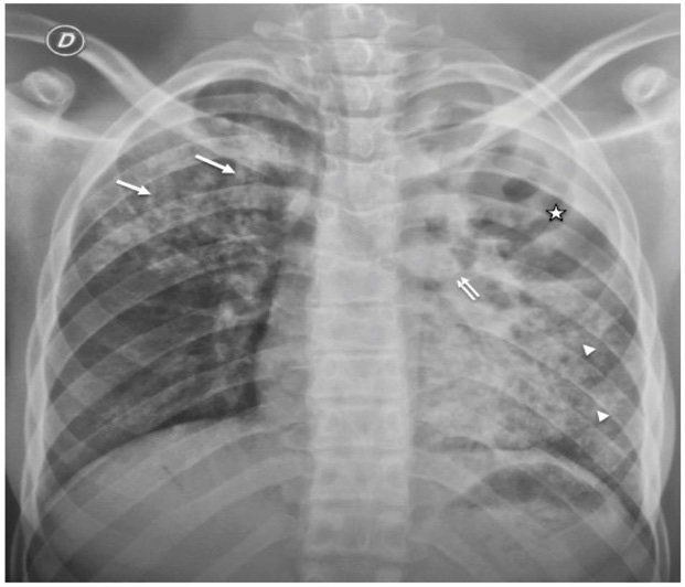
Figure 1: Chest X-ray of a 15 years old girl showing an interstitial syndrom:
- a vast cavern of the lingula (star) with a drainage bronchus (double arrow)
- a right apical infiltrate (arrow)
- and a left basal milial aspect (arrowhead).

figure 1