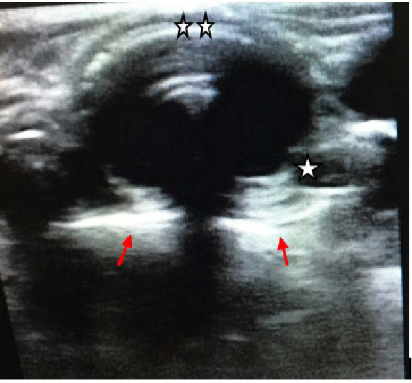
Figure 2: Ultrasound image demonstrating shadows representing saline-filled cuff of endotracheal tube.
Trachea (☆ ☆) , Esophagus (☆) , Shadows of saline-filled cuff (red arrows).

figure 2