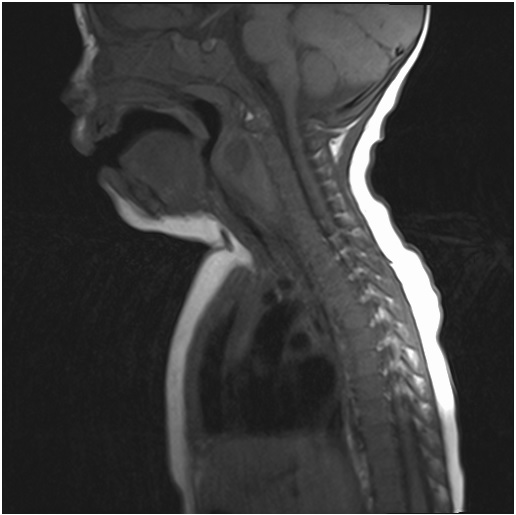
Figure 1: MRI of the neck showing retropharyngeal abscess overhelming larynx and obturated piriformn sinuses.

figure 1