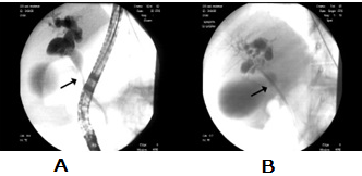
Figure 4: ERCP images. 4A: There is a stricture in the distal CHD and dilatation in the proximal CHD. 4B: ERCP image obtained after CBD stent placement.

figure 4