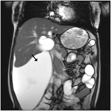
Figure 2: Abdominal MRI. There is a loculated fluid collection extending from the subcapsular region of the right hepatic lobe to the pelvic inlet, measuring approximately 25×12×14 cm.

figure 2