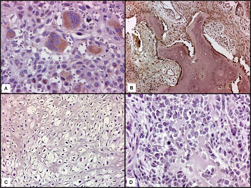
Figure 1: LF immunostaining was evident in giant elements within GCT (a, x400); osteoblats present within OO were also immunoreactive (b, x200)(Mayer's hemalum counterstain).

figure 1