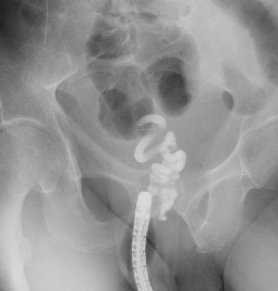
Figure 2: Fluoroscopic observation with infusion of 5% EOI was performed to determine the extent of the varices.

figure 2