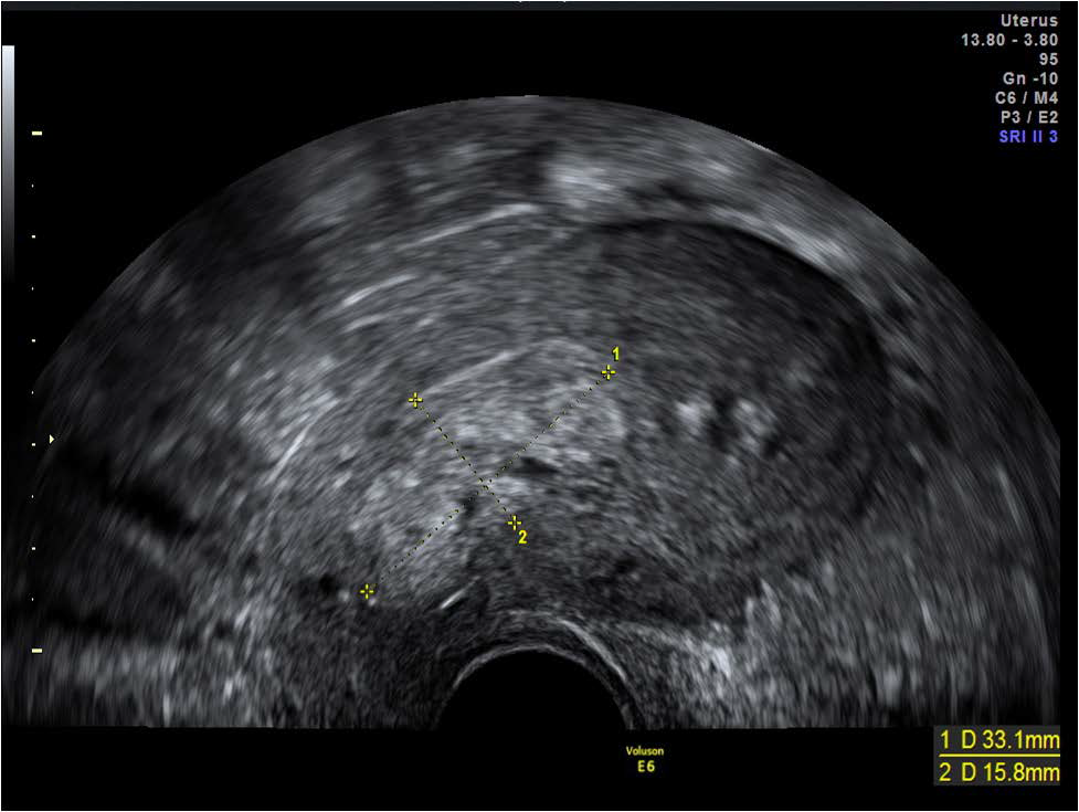
Figure 7: Echogenic mass seen within the lower uterine segment in the sagittal plane on transvaginal scan performed in a symptomatic patient 8 weeks post vaginal delivery.

figure 7