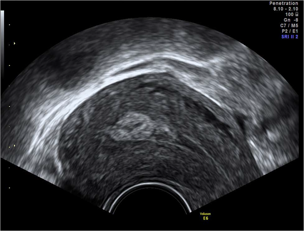
Figure 5: Echogenic mass within the endometrial cavity seen in the sagittal plane on transvaginal scan 6 weeks post vaginal delivery.

figure 5