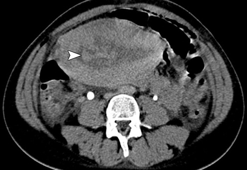
Figure 3: Axial contrast material–enhanced CT image of a normal postpartum uterus, obtained 12 hours after vaginal delivery reveals an enlarged uterus containing a low-attenuation central area corresponding to intrauterine blood debris and fluid. Fresh blood clots are seen as hyperattenuating foci (arrowhead). (Reprinted with permission) [5].

figure 3