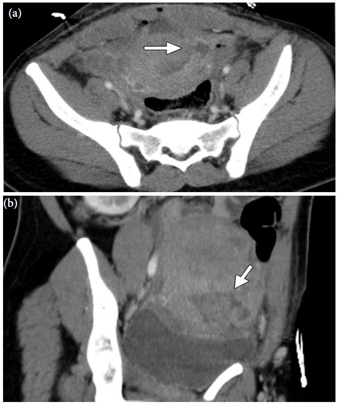
Figure 15: Contrast-enhance CT images taken in the axial (a) and coronal oblique (b) planes, 4 days post caesarean delivery. Disruption of the myometrium (arrow) in the left aspect of the lower uterine segment can be seen as a hypoattenuating band in the myometrium, with subsequent communication of the uterine cavity with a fluid collection in the left broad ligament and pelvis (Reprinted with permission) [5].

figure 15