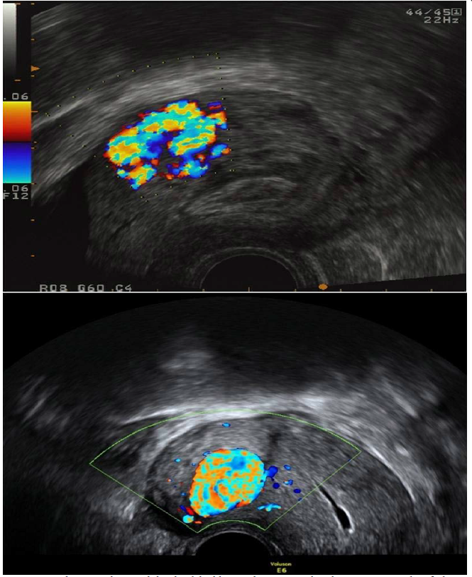
Figure 14: Colour Doppler reveals localised, highly vascular AVMs within the myometrium identified on transvaginal scan (sagittal plane).

figure 14