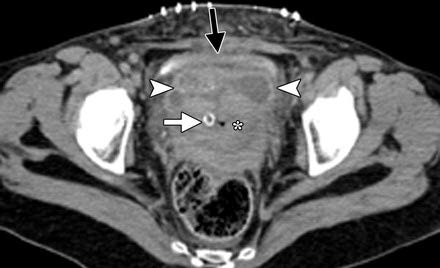
Figure 13: Axial contrast-enhanced CT image reveals a fluid collection (arrowheads) anterior to the lower uterine segment (*) and posterior to the bladder (black arrow), corresponding to a small bladder flap hematoma post caesarean section. The intrauterine balloon catheter can be seen (white arrow) [5].

figure 13