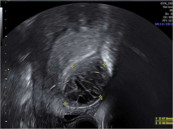
Figure 11: Post caesarean section haematoma originating from the anterior uterine wall, posterior to the urinary bladder,seen in the sagittal plane on transvaginal scan 7 days post procedure.

figure 11