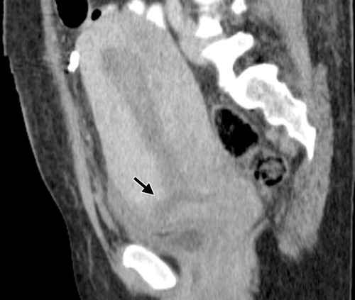
Figure 10: Sagittal portal phase reformatted CT image following a normal caesarean section reveals a low transverse discontinuity (arrow) at the incision site in the anterior portion of the lower uterine segment. (Reprinted with permission) [5].

figure 10