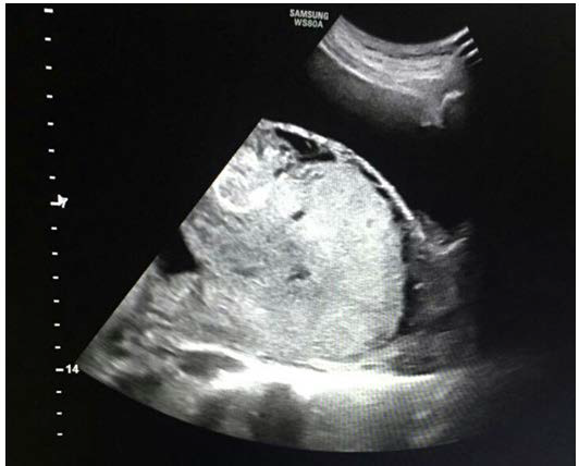
Figure 1: 2D-Ultrasound imaging showing the abnormally attached placenta directly implanted on the uterine serosa of the anterior uterine wall.

figure 1