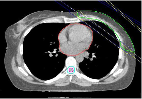
Figure 2: Planning CT scan indicating the area irradiated in DIBH (ABC).

figure 2