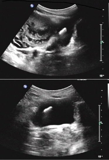
Figure 1: Consistent with an intrauterine device.

figure 1