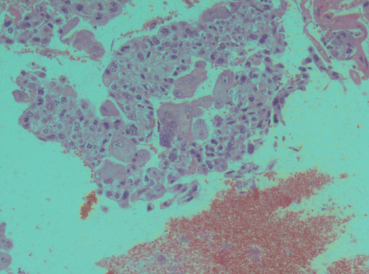
Figure 3: Section showing haemorrhagic and necrotic tumour composed of malignant-syncytiotrophoblast and cytotrophoblasts (x100).

figure 3