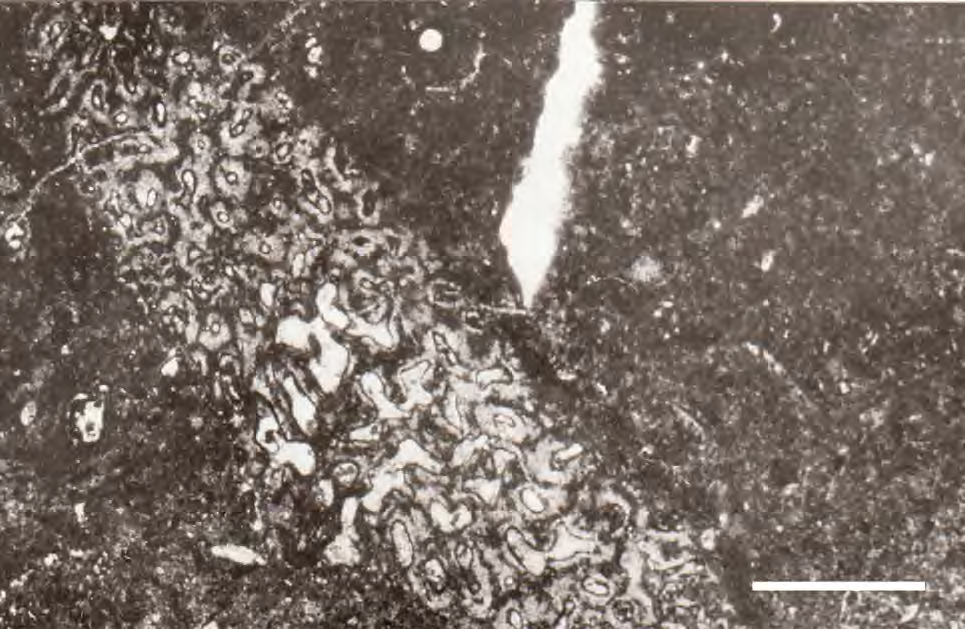
Figure 11: Peloidal wackestone with Cladocoropsis mirabilis Felix. B-1 unit. Scale bar 1.6 mm (taken from [2,3]).

figure 11