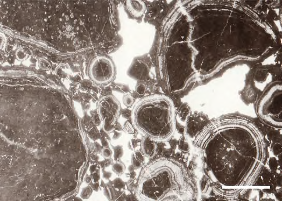
Figure 10: Pisoidal-intraclastic grainstone/rudstone of the J-5 unit. Scale bar 1.6 mm.

figure 10