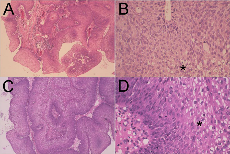
Figure 3: Histopathological findings (hematoxylin–eosin staning) Inverted papilloma from the right nasal cavity showing endophytic, multilayered, proliferating squamous epithelium (a; lower magnification) and koilocytosis (asterisk), suggesting viral infection (b; higher magnification) Inverted papilloma from the left nasopharynx showing endophytic, multilayered, proliferating squamous epithelium (c; lower magnification) and prominent koilocytosis (asterisk; d; higher magnification).

figure 3